Dentisterie Générale
Soins préventifs et curatifs
L’examen de routine occupe une place centrale dans le maintien d’une bonne santé bucco-dentaire. Lors de ces visites, votre dentiste vérifie l’état de vos dents, de vos gencives et de votre bouche, et peut détecter précocement des problèmes comme les caries, les maladies parodontales ou d’autres affections.
Dentisterie Générale
Soins préventifs et curatifs
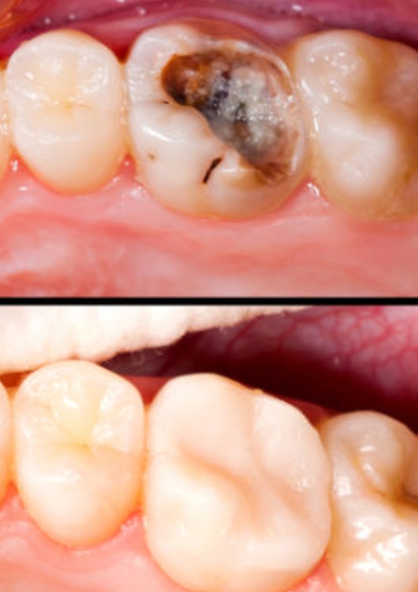
L’examen de routine occupe une place centrale dans le maintien d’une bonne santé bucco-dentaire. Lors de ces visites, votre dentiste vérifie l’état de vos dents, de vos gencives et de votre bouche, et peut détecter précocement des problèmes comme les caries, les maladies parodontales ou d’autres affections.
Notre approche personnalisée garantit des résultats adaptés à vos besoins spécifiques.
Aucune image disponible pour cette catégorie.