INVISALIGN
Sourire aligné, confort assuré
- Invisible et confortable
- Résultats mesurables
- Suivi personnalisé
Pourquoi choisir INVISALIGN ?
Notre produit phare : un aligneur transparent sur mesure qui corrige progressivement l'alignement dentaire tout en restant quasi invisible. Confortable, efficace et discret, il s'intègre parfaitement à votre quotidien.
Invisible et confortable
Bilan complet, objectifs et empreinte numérique.
Résultats mesurables
Série d’aligneurs pour une évolution étape par étape.
Suivi personnalisé
Contrôles réguliers jusqu’au sourire souhaité.
Suivi pro
Accompagnement par nos praticiens.
Comment ça marche ?
Consultation & scan 3D
Bilan complet, objectifs et empreinte numérique.
Aligneurs sur-mesure
Série d’aligneurs pour une évolution étape par étape.
Suivi & résultats
Contrôles réguliers jusqu’au sourire souhaité.
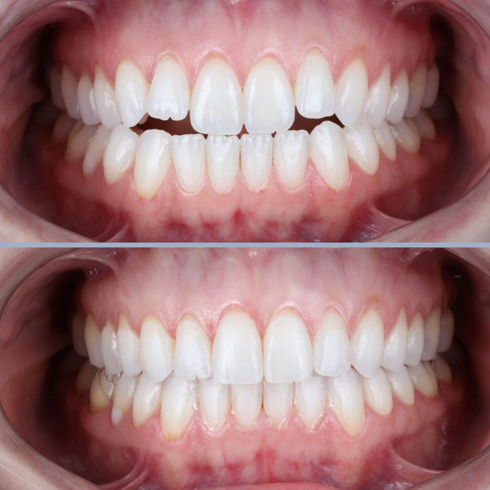
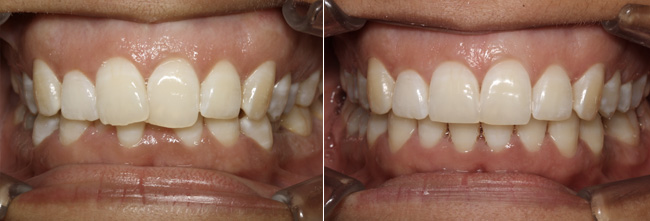
Avant
Après
95%
Satisfaction
2-6m
Durée moyenne
0
Fil métallique
- Hygiène facilitée grâce aux aligneurs amovibles
- Adapté aux adultes et adolescents
- Entretien simple et discret
FAQ
Est-ce douloureux ?
Gêne très modérée les premiers jours chez la plupart des patients.
Peut-on les retirer ?
Oui, pour manger et l’hygiène. Recommandé ~22h/jour.
Quelle durée de traitement ?
Selon les cas, en moyenne entre 2 et 6 mois.
Prêt à commencer ?
Réservez une consultation pour établir votre plan de traitement personnalisé.
- Diagnostic & Plan 3D
- Devis transparent
- Suivi inclus




